Стоматологический снимок для пациента часто выглядит как серо-белая схема, где трудно отличить корень от пломбы, а нормальную тень — от проблемы. Врач видит в нём гораздо больше: контактные поверхности между зубами, края старых реставраций, состояние каналов, костную ткань вокруг корней, положение зубов мудрости, высоту кости перед имплантацией и мелкие изменения, которые ещё не дают боли. Именно поэтому снимок нередко становится моментом, когда скрытая проблема впервые становится видимой.
Нейросети в стоматологии работают с этой невидимой для пациента частью диагностики. Они анализируют прицельные снимки, bitewing-рентген, панорамные изображения и 3D-исследования, помогая врачу заметить кариес, воспаление у корня, кисты, потерю костной ткани и особенности, важные для имплантации. Это не замена стоматолога и не автоматический диагноз, а дополнительный слой проверки, который делает анализ снимков более внимательным и понятным.
Почему стоматологические снимки стали удобной областью для нейросетей
Стоматология давно опирается на изображения. Осмотр во рту показывает только часть картины: врач видит поверхность зубов, состояние дёсен, пломбы и видимые дефекты. Но кариес между зубами, воспаление у верхушки корня, скрытая киста или нехватка костной ткани часто проявляются именно на снимке.
Для нейросетей это подходящая среда. Изображений много, патологии имеют повторяемые визуальные признаки, а результат можно сравнивать с заключением врача и последующим лечением. Поэтому AI-системы в стоматологии чаще всего развиваются вокруг рентгенодиагностики: они ищут зоны затемнения, нарушения контура, признаки разрушения ткани, изменения вокруг корней и участки, которые стоит проверить внимательнее.
Исследования по AI-детекции кариеса показывают большой разброс результатов: точность зависит от типа снимков, качества разметки, модели и условий проверки. В одном систематическом обзоре по платформам для выявления кариеса точность разных решений варьировалась очень широко, а средние показатели чувствительности и специфичности подтверждали перспективность технологии, но не её абсолютную безошибочность.
Как нейросеть анализирует стоматологический снимок
Сначала система получает изображение и оценивает его качество. Если снимок смазан, пересвечен, сделан под неудачным углом или на нём есть артефакты, алгоритму сложнее работать. Хороший AI не должен делать уверенный вывод там, где исходные данные слабые, потому что плохой снимок может исказить даже очевидную клиническую картину.
После этого нейросеть ищет признаки, на которых её обучали. Для кариеса это могут быть тёмные участки в эмали и дентине, особенно между зубами и под старыми пломбами. Для кист и воспалений важны изменения костной ткани около корня. Для имплантации система может помогать оценивать высоту и объём кости, расстояние до важных анатомических структур и общее состояние зоны, где планируется установка импланта.
Врач при этом остаётся главным интерпретатором. Алгоритм может подсветить подозрительный участок, но стоматолог сопоставляет его с жалобами, осмотром, историей лечения, состоянием соседних зубов и планом терапии. Один и тот же визуальный признак может иметь разное значение в зависимости от клинической ситуации.
Кариес: почему AI полезен на ранних стадиях
Кариес не всегда начинается с заметной дырки или боли. Он может развиваться между зубами, под краем пломбы или в зоне, которую трудно хорошо рассмотреть при обычном осмотре. Пациент может ничего не чувствовать, а на снимке уже появляется слабое изменение плотности тканей.
Нейросети полезны именно в таких случаях. Они помогают обратить внимание на небольшие затемнения, которые могут указывать на начальное поражение. Особенно это важно на bitewing-снимках, где хорошо видны контактные поверхности зубов. Если ранний кариес заметить вовремя, лечение может быть менее объёмным: иногда достаточно наблюдения, реминерализации, коррекции гигиены или небольшой реставрации, а не сложного восстановления после глубокого разрушения.
Но у AI есть ограничение. Затемнение на снимке не всегда означает активный кариес, требующий немедленного сверления. Врач должен оценить глубину поражения, состояние эмали, риск пациента, гигиену, питание, сухость во рту, старые пломбы и динамику. Поэтому нейросеть помогает увидеть подозрительный участок, но не должна превращать каждый сигнал в автоматическое лечение.
Кисты и воспаления у корня
Киста, гранулёма или хроническое воспаление у верхушки корня могут долго не беспокоить пациента. Иногда зуб не болит, десна выглядит спокойно, а проблема обнаруживается случайно — на снимке перед лечением, протезированием или имплантацией. Такие изменения особенно важно не пропустить, потому что воспаление может увеличиваться, разрушать костную ткань и осложнять дальнейшее лечение.
На рентгене и КЛКТ врач ищет зоны разрежения кости около корня, изменение контура, расширение периодонтальной щели и другие признаки. Нейросеть может подсветить подозрительную область и помочь быстрее заметить патологию, особенно если снимков много или изменения небольшие.
AI-модели активно изучают для выявления периапикальных поражений — изменений вокруг верхушки корня. Свежие обзоры показывают интерес к обнаружению, сегментации и классификации таких поражений на прицельных снимках, панорамных изображениях и КЛКТ, но также подчёркивают зависимость результата от качества данных и типа исследования.
Где нейросети помогают стоматологу сильнее всего
В стоматологии нейросеть особенно полезна там, где нужно внимательно оценить много мелких деталей. Один снимок может содержать сразу несколько задач: проверить кариес, посмотреть корни, оценить кость, заметить старую проблему и объяснить пациенту, почему лечение лучше не откладывать.
Перед внедрением таких систем важно понимать, что AI не одинаково полезен во всех ситуациях. Сильнее всего он помогает там, где есть понятные визуальные признаки и риск человеческого пропуска из-за усталости, спешки или большого потока пациентов.
- Поиск скрытого кариеса — нейросеть помогает заметить подозрительные участки между зубами, под пломбами и в зонах, которые сложно оценить только при осмотре.
- Выявление воспалений у корня — алгоритм может подсветить области разрежения кости, которые требуют эндодонтической оценки или дополнительной диагностики.
- Оценка уровня костной ткани — AI помогает обращать внимание на потерю кости при пародонтите и на состояние зоны перед имплантацией.
- Контроль старых реставраций — система может выделять края пломб, коронок и участки, где есть риск вторичного кариеса.
- Объяснение диагноза пациенту — подсвеченные зоны на снимке помогают человеку лучше понять, почему врач предлагает лечение или наблюдение.
Такой формат работы делает нейросеть инструментом второго взгляда. Она не отменяет клиническое решение, но помогает врачу структурировать снимок и понятнее показать пациенту проблему.
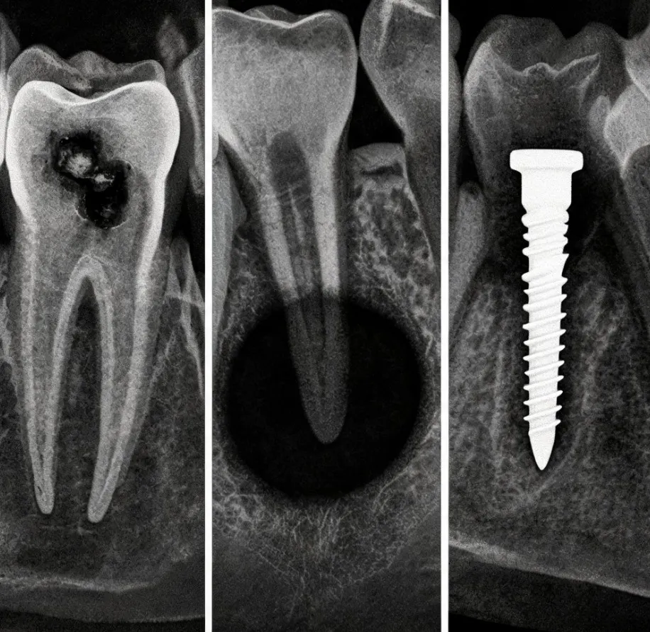
Имплантация: как AI помогает планировать лечение
Имплантация требует особенно точной диагностики. Перед установкой импланта нужно оценить объём и плотность кости, расстояние до нижнечелюстного нерва, гайморовой пазухи, соседних корней и других важных структур. Ошибка на этапе планирования может привести к осложнениям, боли, воспалению, повреждению тканей или нестабильности импланта.
Здесь нейросети могут помогать в нескольких направлениях. Они участвуют в сегментации анатомических структур на КЛКТ, анализируют костную ткань, помогают врачу оценить зону установки и иногда ускоряют подготовку цифрового плана. В сложных случаях это особенно ценно: например, если у пациента давно отсутствует зуб, кость уменьшилась, рядом проходят важные структуры или требуется костная пластика.
Но планирование имплантации нельзя полностью передать алгоритму. Врач учитывает прикус, состояние дёсен, гигиену, общее здоровье, курение, диабет, нагрузку на будущую конструкцию, тип протеза и долгосрочный прогноз. AI может ускорить анализ снимка, но хирургическое решение остаётся клиническим.
Какие снимки используют в стоматологическом AI
Разные виды снимков дают разную информацию. Поэтому нейросеть не может одинаково решать все задачи по одному изображению. Для кариеса часто важны bitewing- и прицельные снимки, для кист и корней — прицельный рентген и КЛКТ, для имплантации — 3D-исследование, где виден объём кости и анатомические ограничения.
Перед выбором метода врач смотрит не только на жалобу, но и на задачу диагностики. Иногда достаточно небольшого прицельного снимка, а иногда без трёхмерного изображения нельзя безопасно планировать лечение.
| Вид снимка | Что показывает | Где особенно полезна нейросеть |
|---|---|---|
| Прицельный снимок | Один или несколько зубов, корни, каналы, область вокруг верхушки корня | Кариес, воспаления у корня, контроль лечения каналов |
| Bitewing-снимок | Коронковые части зубов и контактные поверхности | Скрытый кариес между зубами и под старыми реставрациями |
| Панорамный снимок | Общую картину челюстей, зубов, корней и костной ткани | Первичный обзор, зубы мудрости, крупные очаги, планирование лечения |
| КЛКТ | Трёхмерное изображение зубов, кости, каналов и анатомических структур | Имплантация, кисты, сложные корни, хирургическое планирование |
| Серия снимков в динамике | Изменения состояния во времени | Контроль кариеса, воспалений, костной ткани и результата лечения |
Такое разделение помогает избежать завышенных ожиданий. AI не делает любой снимок универсальным. Он работает лучше тогда, когда изображение подходит под конкретную задачу и врач понимает, какие выводы можно делать по этому типу данных.
Почему пациентам становится проще понять диагноз
Одна из важных сторон стоматологического AI — коммуникация. Пациенту сложно поверить в проблему, если зуб не болит, а врач говорит о кариесе, воспалении или необходимости лечения каналов. Снимок помогает, но без пояснений он остаётся непонятным.
Когда программа подсвечивает подозрительный участок, разговор становится нагляднее. Пациент видит, где именно находится проблема, почему врач предлагает лечение и чем может быть опасно ожидание. Это особенно полезно при скрытом кариесе, воспалении у корня, потере костной ткани и подготовке к имплантации.
Но здесь важна честность. Подсветка на снимке — не доказательство сама по себе, а повод для объяснения. Врач должен показать, что видно на изображении, как это связано с осмотром и почему предлагается конкретный план. Если AI используется только как инструмент убеждения пациента, а не как часть диагностики, доверие может пострадать.
Ограничения и риски AI в стоматологии
Нейросеть может ошибаться. Она может принять артефакт за патологию, не заметить проблему на некачественном снимке, переоценить тень рядом с пломбой или выдать слишком много подозрительных зон. В стоматологии это особенно важно, потому что лишнее лечение тоже вредно: не каждый ранний признак требует немедленного вмешательства.
Есть и проблема данных. Алгоритмы обучаются на снимках, которые кто-то размечал. Если разметка была неполной, снимки однотипными, а пациенты не отражали реальную клиническую разнообразность, модель может хуже работать в другой клинике или на другом оборудовании. Поэтому хорошие результаты в исследовании не всегда автоматически означают такую же эффективность в каждом кабинете.
Отдельный риск — чрезмерное доверие. Если врач начинает смотреть только на подсказки системы, он может пропустить то, что алгоритм не отметил. Если пациент воспринимает AI-вывод как окончательный диагноз, он может согласиться на лечение без нормального объяснения или, наоборот, отказаться от нужной помощи при спокойном отчёте.
Как пациенту относиться к AI-анализу снимков
Для пациента важно понимать простую вещь: нейросеть не заменяет стоматологический осмотр. Она помогает анализировать изображение, но не знает всех деталей без врача. Боль, чувствительность, состояние дёсен, качество гигиены, старые лечения, прикус и общее здоровье остаются важной частью решения.
Перед лечением стоит не бояться AI-подсказок, но и не воспринимать их как единственный аргумент. Хороший стоматолог объясняет снимок понятным языком, показывает подозрительную зону, сопоставляет её с осмотром и предлагает варианты действий.
- Спросить, что именно показала программа — важно понять, речь идёт о кариесе, воспалении, потере кости, риске под пломбой или другой находке.
- Уточнить, подтверждается ли вывод осмотром — AI-сигнал должен сопоставляться с клинической картиной, а не существовать отдельно.
- Попросить объяснить срочность лечения — не каждая находка требует немедленного вмешательства, иногда возможно наблюдение.
- Разобрать альтернативы — при спорных случаях полезно узнать, есть ли варианты: контрольный снимок, дополнительная диагностика, профилактика или лечение.
- Сохранять снимки в динамике — сравнение старых и новых изображений помогает понять, развивается ли проблема или остаётся стабильной.
Такой подход делает пациента участником решения. AI помогает увидеть больше, но грамотный вопрос к врачу помогает понять, что с этой информацией делать.
Почему направление будет расти
Стоматологии выгодны инструменты, которые повышают точность, ускоряют работу и помогают объяснять диагноз. Поток снимков в клиниках растёт, цифровое оборудование становится привычным, а пациенты всё чаще хотят видеть доказательства и понимать план лечения. Нейросети хорошо вписываются в эту среду.
Рост будет идти не только в сторону поиска кариеса. Всё важнее станут комплексные системы, которые анализируют снимок целиком: зубы, корни, кость, старые реставрации, импланты, зоны воспаления и риски. Некоторые современные платформы уже получают разрешения для более широких диагностических сценариев, включая анализ 2D- и 3D-изображений, что показывает движение рынка от отдельных подсказок к полноценной поддержке стоматологической диагностики.
При этом будущее технологии зависит не только от точности. Важны понятные интерфейсы, ответственность врача, качество снимков, защита данных и отсутствие давления на пациента. AI должен помогать принимать обоснованные решения, а не превращать диагностику в автоматическую продажу лечения.
Итог
Нейросети в стоматологических снимках становятся полезным инструментом для диагностики кариеса, кист, воспалений у корня и планирования имплантации. Они помогают врачу внимательнее анализировать изображения, быстрее замечать подозрительные зоны и понятнее объяснять пациенту, что происходит с зубами и костной тканью.
Главная ценность AI — второй взгляд на снимок. Алгоритм может подсветить то, что требует проверки, но окончательное решение остаётся за стоматологом. Врач соединяет изображение с осмотром, жалобами, историей лечения и прогнозом. Без этого даже точная подсказка может быть неправильно понята.
